専門分野の研究紹介
神経眼科グループ
神経眼科とは?
眼科における疾患は、眼球のみの疾患だけではなく中枢を含めた全身の疾患と密接に関係があります。脳などの中枢系の疾患や様々な全身疾患の症状がまず眼にあらわれることも多くあります。
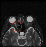
視力障害や視野障害などの視覚系障害、複視を含む眼球運動障害、眼瞼下垂や眼瞼痙攣などの眼瞼疾患や瞳孔の障害などにおいて眼科的検査をすすめながら診断および治療をおこなっていく分野が神経眼科です。
原因不明の視力障害などの原因が全身疾患に関係がある場合が多々あります。また複視の原因が重症筋無力症、甲状腺眼症、脳腫瘍や神経麻痺など、眼球以外に原因がある場合も、眼にしか障害がでない場合も多く神経眼科医の役割は大きいと思われます。
様々な分野と関連があるため、診断・治療にあたっては、脳神経内科、脳神経外科、内科など他の診療科と連携が必用な分野です。
神経眼科の最近のTopics

この抗体が発見されるまでは、ステロイドパルスを行っても失明が免れない症例がまれに存在しましたが、当院でもリウマチ・膠原病内科の協力を得て血漿交換と免疫抑制療法をおこなうようになり、視神経炎で片眼が既に失明している人のもう片眼を救うことができたりして、医療の進歩を実感しています。
この病気の再発予防に関しては、まだ確立したものはありませんが、我々がリウマチ・膠原病内科と共同で2008年から行っている、血漿交換と免疫抑制剤のパルスを行った症例は、重大な副作用もなく1例の再発もみられていません。我々の施設に紹介されてくるまでは、1年間に3回くらい再発し、片眼が失明した症例も、この治療を行ってからは1度も再発が見られていませんので、有効な再発予防法ではないかと考えています。この考え方は、全国的にも同じような動向のようで、このような血漿交換と免疫抑制剤を組み合わせた治療法は、先進的な施設では現在は積極的におこなわれています。
この疾患に関しては、当初脊髄炎および脊髄炎と視神経炎の合併例を中心とした神経内科領域での報告が主でした。しかし、視神経炎から発症する症例が多いこと脊髄炎を伴わず視神経炎のみの症例も存在し、眼科的な臨床像を明らかにする必要があります。しかし、この疾患自身がそれ程多い疾患ではありませんので多施設での解析が必要です。
そこでこの抗体陽性の視神経炎の臨床像を明らかにするために全国規模の多施設共同研究が開始されました。我々の施設も、この共同研究(Japan anti - aquaporin - 4 - antibody - positive optic neuritis study group)に参加しました。
研究分野
1.視交叉近傍圧迫性視神経症における構造と機能の関係
2.視神経・視路疾患の診断および治療効果に関する研究
3.斜視・眼球運動に対する診断および治療効果に関する研究
4. 遺伝性視神経疾患の遺伝子解析